TRATAMENTOS
Implante dentário
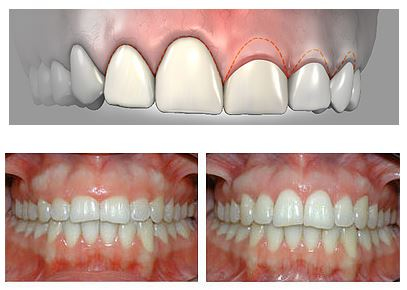
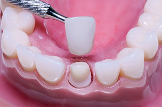
Próteses
Tratamento de canal
Odontologia preventiva
Laserterapia
Últimas matérias
Toxina Botulínica e preenchedores faciais
A transformação do sorriso caminha junto com a harmonização das linhas faciais, e é justamente por isso que a Odontologia vem trilhando caminhos cada...
Anestesia sem dor. Entenda o procedimento.
A grande maioria das pessoas sente um pouco de medo ou receio de fazer visitas ao dentista, e esses são os motivos pelos quais...



























